Acompañamos a nuestros pacientes desde el primer momento con diagnósticos de precisión absoluta. Visualiza tus resultados finales antes de comenzar mediante escáneres 3D y cámaras intraorales de alta definición.
Bajo la dirección del Dr. Angel Nolasco, ofrecemos una odontología educativa y humana. Nos enfocamos en explicar cada detalle de tu salud bucal, garantizando diagnósticos certeros basados en estándares internacionales.
Contamos con todas las especialidades odontológicas para brindarte una solución integral en un solo lugar.
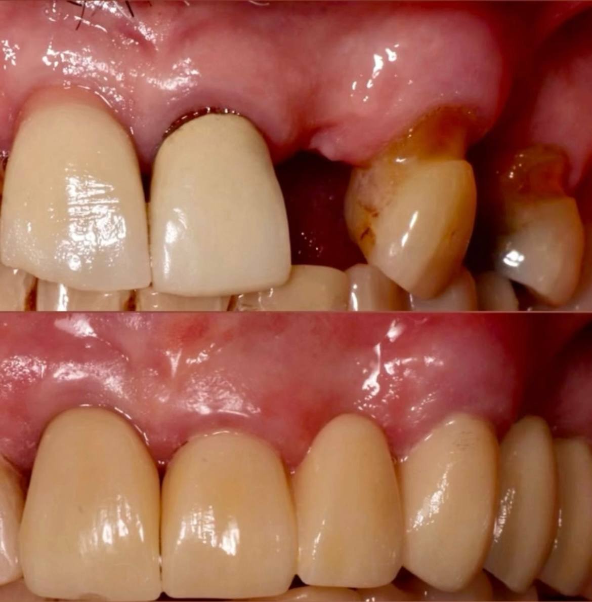
Recupera la función, estética y confianza de tu sonrisa con tratamientos de rehabilitación oral e implantes dentales de última generación. Reemplazamos dientes perdidos de forma segura, duradera y con resultados naturales.
Corrige la posición de tus dientes y mejora tu mordida con técnicas modernas y personalizadas logrando resultados más rápidos, cómodos y estéticos, adaptados a cada paciente.
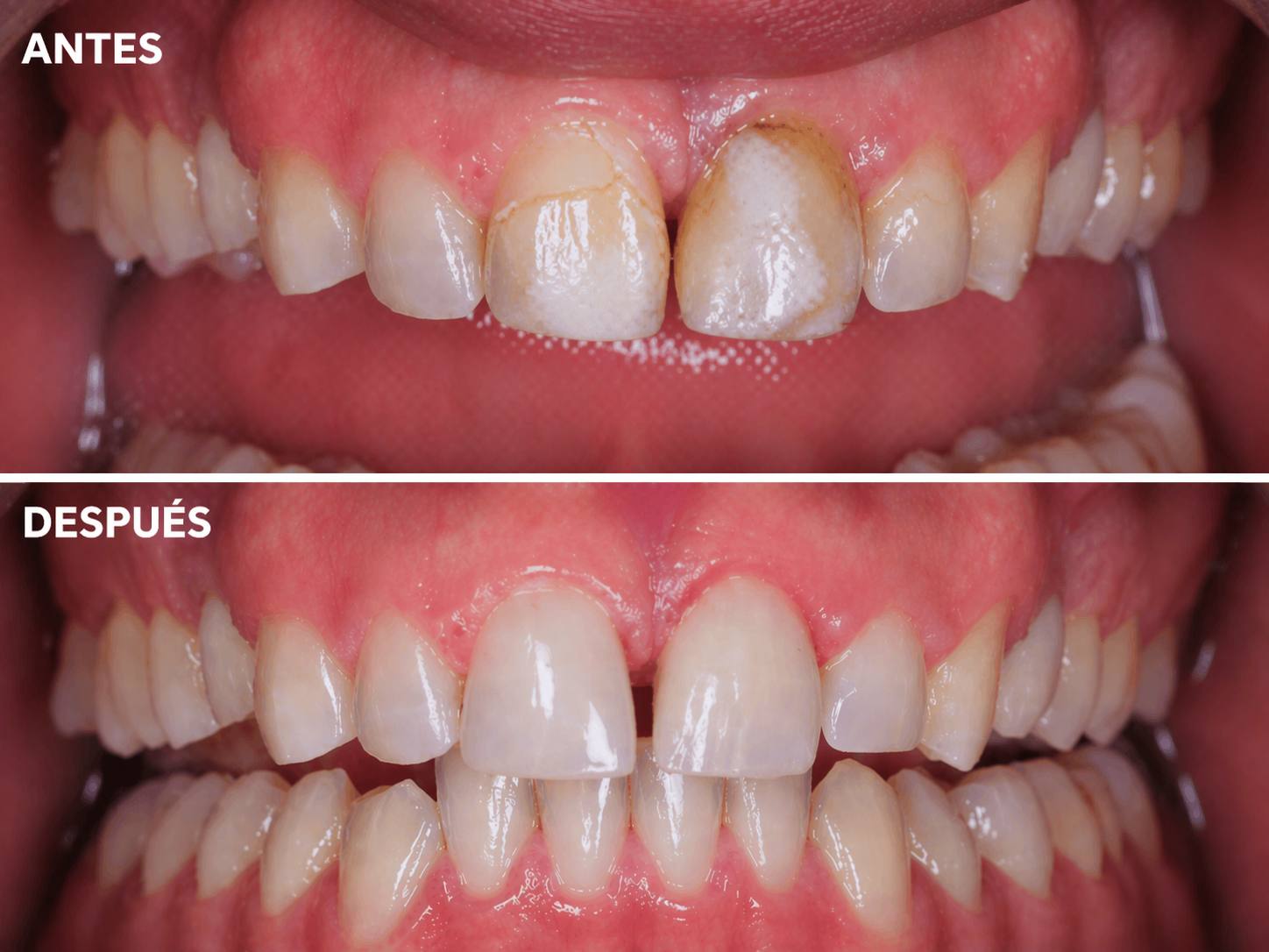
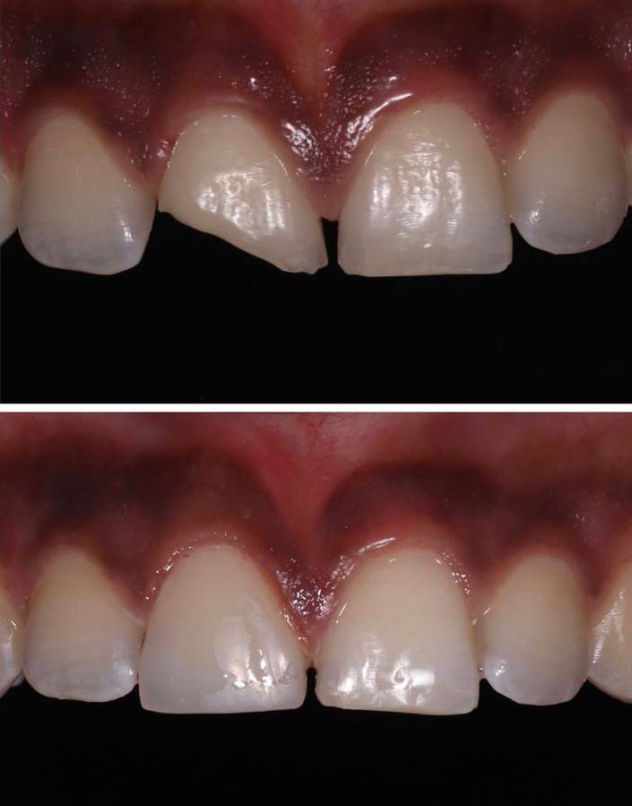
Transforma tu sonrisa con tratamientos diseñados para resaltar tu belleza natural. Ofrecemos blanqueamientos, carillas y remodelación dental para lograr una sonrisa armónica, saludable y atractiva.
Alinea tus dientes de forma discreta y cómoda con alineadores transparentes. Este sistema removible te permite mejorar tu sonrisa sin brackets, manteniendo tu estilo de vida sin interrupciones.
Salvamos tus dientes naturales mediante tratamientos de conducto precisos y sin dolor. Eliminamos infecciones y restauramos la salud dental, evitando extracciones innecesarias.
Cuidamos la salud de tus encías y tejidos de soporte dental. Tratamos enfermedades como gingivitis y periodontitis para prevenir la pérdida de dientes y mantener una sonrisa sana a largo plazo.
Atención especializada para niños en un ambiente cómodo y seguro. Nos enfocamos en la prevención, educación y tratamiento dental para garantizar sonrisas saludables desde temprana edad.
Realizamos procedimientos quirúrgicos con precisión y tecnología avanzada, como extracciones, terceros molares y cirugías complejas, priorizando siempre la seguridad y el bienestar del paciente.
Liderazgo médico y excelencia clínica al servicio de tu sonrisa.
Magister en Implantología y Rehabilitación Oral. Especialista en la integración de flujos digitales avanzados de última generación.
Ver Perfil Completo
Encargada de la gestión administrativa y la experiencia del paciente. Coordina la comunicación, el agendamiento y asegura un trato cálido y profesional desde el primer contacto.
Especialista en el cuidado de las encías y los tejidos de soporte dental. Enfocado en la prevención y tratamiento de enfermedades periodontales para asegurar la salud a largo plazo de tu sonrisa.
Profesional dedicada al cuidado preventivo y profilaxis dental. Se encarga de realizar limpiezas profundas y educar a los pacientes para mantener una higiene oral impecable.
Especialista en cirugía oral y maxilofacial, con dominio en extracciones complejas, implantes quirúrgicos y procedimientos reconstructivos de la boca, mandíbula y estructuras faciales. Aporta precisión y seguridad en cada intervención.
Especialista en ortodoncia con enfoque integral en el diagnóstico y la planificación de tratamientos para pacientes de todas las edades. Combina precisión clínica y estética para devolver la confianza a través de una sonrisa correctamente alineada.
Especialista en ortodoncia, dedicada a corregir la alineación dental y la mordida con tratamientos personalizados. Domina técnicas con brackets convencionales, estéticos y alineadores invisibles (Invisalign) para lograr sonrisas armónicas y funcionales.
Asistente dental enfocado en brindar apoyo clínico durante cada procedimiento. Garantiza la organización del instrumental, la esterilización rigurosa y un acompañamiento cercano al paciente para que cada visita sea cómoda y segura.
Especialista en odontopediatría, dedicada a la salud bucal de los más pequeños. Brinda atención cálida y personalizada en un ambiente lúdico, fomentando hábitos de higiene desde temprana edad y haciendo de cada visita una experiencia positiva y educativa.
Experimente la calidad de nuestro trabajo a través de casos reales de pacientes del Dr. Angel Nolasco.
Historias reales de transformación bajo la dirección del Dr. Angel Nolasco.
Paciente comparte su experiencia positiva.
La transformación que el paciente esperaba.
Seguridad y confianza en cada paso.
Excelencia clínica en cada detalle.
Transformación integral y estética.
Agenda tu cita hoy y descubre por qué somos líderes en implantología y estética dental.
Ave. San Vicente de Paúl, Esquina calle Bonaire,
Plaza Piazza GR II, Segundo Nivel.
Santo Domingo Este 11506.
Odontología General
Duración 45 minutos
Tu cita ha sido pre-reservada en nuestro sistema.